ads/auto.txt

Kid Definition X Ray

X Rays Kids Britannica Kids Homework Help

X Rays Kids Britannica Kids Homework Help

What Is An X Ray For Kids Radiology And Medical Imaging

What Is An X Ray For Kids Radiology And Medical Imaging

How Do X Rays Work Human Body Skeleton X Ray Science For Kids Educational Videos By Mocomi Youtube

How Do X Rays Work Human Body Skeleton X Ray Science For Kids Educational Videos By Mocomi Youtube

X Ray For Kids What Is An X Ray Uva Radiology Blog

X Ray For Kids What Is An X Ray Uva Radiology Blog

X Ray Imaging Tests Children S Hospital Of Philadelphia

X Ray Imaging Tests Children S Hospital Of Philadelphia

X Ray Facts For Kids

X Ray Facts For Kids

X Ray Facts For Kids

X radiation is special because it has a very high energy level that allows the x ray beam to penetrate through the body and create an image or picture.

Kid definition x ray. They are very useful because they can go through substances that light cannot. The passage of x rays through materials including biological tissue can be recorded. A doctor will decide when you need an x ray and what body part needs to be x rayed.

X rays have a shorter wavelength and therefore more energy than ultraviolet radiation. Dictionary and thesaurus definition of x ray notice. Like light x rays are a form of radiation.

These are all parts of the. Along with this x ray for kids article you can browse our other articles about imaging exams for children like mri or ct you can read through this information yourself or read it to your child. X radiation is a kind of electromagnetic radiation.

When the picture comes out it won t like the ones in your photo album but doctors have learned how to look at these. X rays are waves of x radiation. The image is created due to the x ray beam being absorbed differently by different structures or parts in the body.

This strap will be like the seatbelt to hold you in place during the x ray exam. Kids net au dictionary definition. X rays are special pictures of the inside of your body.

Trying to get property num rows. Thus analysis of x ray images of the body is a valuable medical diagnostic tool. They ll help you get ready for the x ray by telling you how to stand sit or lay down and they might strap down the part of your body they need a picture of.

Normal Wrist Joint Child Radius And Ulna X Ray Becoming A Doctor

Normal Wrist Joint Child Radius And Ulna X Ray Becoming A Doctor

Radiation Kids Britannica Kids Homework Help

Radiation Kids Britannica Kids Homework Help

Pin By Kate On Kid Projects Dramatic Play Preschool Community Helpers Preschool Human Body Science

Pin By Kate On Kid Projects Dramatic Play Preschool Community Helpers Preschool Human Body Science

What Is Radiation Physics For Kids Mocomi Radiation Learning Science Radiation Therapy

What Is Radiation Physics For Kids Mocomi Radiation Learning Science Radiation Therapy

Dentaltown Boy 9 Years Old Referred For Panorex X Ray Due To Unerupted First Molar A Complex Odontoma Also Cal Dental Hygiene School Dental Humor Dentistry

Dentaltown Boy 9 Years Old Referred For Panorex X Ray Due To Unerupted First Molar A Complex Odontoma Also Cal Dental Hygiene School Dental Humor Dentistry

Pelvic X Ray Different Ages Radiology Case Radiopaedia Org

Pelvic X Ray Different Ages Radiology Case Radiopaedia Org

Does This Child Have Precocious Puberty Paediatricfoam

Does This Child Have Precocious Puberty Paediatricfoam

Human Skeletal System Lesson For Kids Video Lesson Transcript Study Com

Human Skeletal System Lesson For Kids Video Lesson Transcript Study Com

Gamma Rays Lesson For Kids Study Com

Gamma Rays Lesson For Kids Study Com

Natural Selection Facts For Kids

Natural Selection Facts For Kids

Child S Hand X Ray Recommended To Use In Pre School By Andrea Beaty Author Of Doctor Ted Anatomy Bones X Ray Kids Hands

Child S Hand X Ray Recommended To Use In Pre School By Andrea Beaty Author Of Doctor Ted Anatomy Bones X Ray Kids Hands

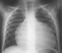
What Is An Enlarged Heart Pediatric Heart Specialists

What Is An Enlarged Heart Pediatric Heart Specialists

Sever S Disease Wikipedia

Sever S Disease Wikipedia

Kids Learn About Skeletons And X Rays While Making Their Own X Ray With This Easy Halloween Kindergarten Activities Halloween Kindergarten Kindergarten Crafts

Kids Learn About Skeletons And X Rays While Making Their Own X Ray With This Easy Halloween Kindergarten Activities Halloween Kindergarten Kindergarten Crafts

Source : pinterest.com